新ジルコニア治療登場
2026-04-21 18:18:44

ホワイトエッセンス、ジルコニア詰め物治療「ステラフィットシリーズ」展開開始

ホワイトエッセンスが親しみやすい口元へ導く新しい治療法



全国に展開するホワイトエッセンス株式会社は、2026年4月21日より自社サービスの一環として、日本製ジルコニアを用いた新たな詰め物・被せ物『ステラフィットシリーズ』を本格的に開始します。この取り組みは、ホワイトエッセンスが25周年を迎えたことを記念し、より多くの方々に質の高い口腔ケアを提供することを目指しています。

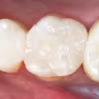
自然美を追求する治療


『ステラフィットシリーズ』は、ホワイトエッセンスが長年のノウハウとデジタル技術を駆使して開発した新しい詰め物・被せ物です。シェードガイドやデジタル画像を使用し、歯の色にピッタリと合う自然な白さと透明感を実現しており、どのような歯の色にも馴染みます。また、ホワイトニングを施した後の白さも再現可能なため、これまで以上に満足感を得られます。

様々な悩みに応える設計


ホワイトエッセンスは、お客様から寄せられる様々な悩みに応えるために、『ステラフィットシリーズ』を生み出しました。これにより、詰め物の色が合わない、外れた詰め物を何度も入れなおしたくないといった問題を解消します。デジタル技術を使用し、詰め物を患者さんの歯にピッタリとフィットさせることで、虫歯になりにくい環境を整えています。

お口と身体に優しい素材


この新シリーズは金属を使用していないため、金属アレルギーの心配がありません。さらに、非常になめらかな表面仕上げにより、細菌の付着や歯茎へのダメージを軽減します。結果として、より健康的なお口を維持することが可能になります。

耐久性を兼ね備えた安心感


『ステラフィットシリーズ』は、耐久性が高く、割れにくく欠けにくい特性を持っています。高品質なジルコニア原材料を最適な比率で用いることで、力強い耐久性を兼ね備えています。結果、保険で使用する白い詰め物よりも約3~5倍の強度が期待でき、長期間にわたって口腔内の環境でも劣化せずに美しさを維持します。

今後の展開について


この新サービスは、全国344院の加盟医院を通して展開され、患者一人ひとりのニーズに合った最適な治療が提供される予定です。ホワイトエッセンスは、長期的な視点で『歯は一生の健康を支える』という理念を基本に、お客様がより安心して治療を受けられるよう、品質のさらなる向上に努めてまいります。

ホワイトエッセンスの理念


ホワイトエッセンス株式会社は、2003年に設立されて以来、医療機関の技術力とエステにおける心地よさを融合し、全国に348店を展開しています。448万件以上の症例実績を誇る当社は、個室空間での施術を通じて五感を癒し、安心して施術を受けられる環境を提供しています。今後も、口元の美しさと健康を保つ方法に挑戦し続けます。


画像1

画像2

画像3

画像4

画像5

画像6

会社情報

会社名
ホワイトエッセンス株式会社
住所
渋谷3-12-18渋谷南東急ビル11階
電話番号
03-6434-1330

トピックス(ライフスタイル)

【記事の利用について】

タイトルと記事文章は、記事のあるページにリンクを張っていただければ、無料で利用できます。
※画像は、利用できませんのでご注意ください。

【リンクついて】

リンクフリーです。