AI乳がん検診「Smaopi」
2025-08-19 15:23:24

AIが変える乳がん検診の未来、「Smaopi」導入開始

AIが変える乳がん検診の未来「Smaopi」の紹介



株式会社Smart Opinionが開発したAI乳がん検診「Smaopi(スマオピ)」が、2025年8月19日より東京・港区の慶應義塾大学予防医療センターで運用を開始します。この新しい検診方法は、乳房超音波検査に人工知能(AI)を活用し、医師の診断を支援するものです。その目的は、微細な乳がんの兆候を見逃さず、より正確で信頼性の高い診断を実現することにあります。

Smaopiの技術的背景



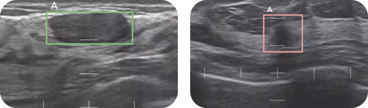
Smaopiは、既存の超音波検査装置と連携して機能します。画像診断支援ソフトウェア「スマートオピニオン METIS Eye」を用いることで、医師の読影をサポートし、診断精度を向上させます。このシステムは、従来の検査法と同様に痛みを伴わず、女性にとって快適な体験を提供します。AIは医師の診断を代替するのではなく、もう一つの目として活用され、結果的により高い精度を実現します。

現在の乳がん検診の課題とSmaopiの解決策



日本では乳がんの罹患者数が増加する傾向にあり、特に40代女性の罹患率が高まっています。しかし、乳がん検診の受診率は47%と欧米と比べて低く、早期発見の重要性が叫ばれています。前述のように、乳がんは早期に発見することで完治が possibleとされますが、現状では多くの女性が検診を受けていないのが事実です。

Smaopiが導入されることで、早期発見の促進が期待されます。超音波検査は、特に高濃度乳腺を有する若い世代に対して敏感に反応するため、検診において優れた効果を持っています。さらに、従来のマンモグラフィーよりも感度が高く、痛みも少ないため、受診者がリラックスして検査を受けられる環境を整えることができます。

Smaopiの具体的な機能



「スマートオピニオン METIS Eye」は、高度に精密なAI診断支援機能を搭載しています。このプログラムは、医師が病変の可能性を評価する際に、AIを用いて精密検査が必要かどうかを判断します。これにより、検査の精度を94.4%という高水準に引き上げることが実現されます。

医師とAIの協働による新しい診断体験



慶應義塾大学の林田哲教授は、乳房超音波検査が特に有用な検査手段であると述べており、AIの導入によって診断の質を向上させることが可能であると期待しています。彼は、地域間や施設間の格差を解消し、患者の安心感を高める未来を展望しています。

終わりに



Smaopiの導入により、乳がん検診における新たなパラダイムシフトが期待されています。このAI技術による革新は、乳がんの早期発見を助け、女性たちの健康を守る大きな一歩となることでしょう。今後の展開に注目です。ぜひ、検診を受けることを考えてみてください。


画像1

画像2

画像3

画像4

画像5

会社情報

会社名
株式会社Smart Opinion
住所
東京都港区芝浦3-1-1msb Tamachi 田町ステーションタワーN 28F
電話番号

関連リンク

サードペディア百科事典: 東京都 港区 AI 乳がん Smaopi

Wiki3: 東京都 港区 AI 乳がん Smaopi

トピックス(ライフスタイル)

【記事の利用について】

タイトルと記事文章は、記事のあるページにリンクを張っていただければ、無料で利用できます。
※画像は、利用できませんのでご注意ください。

【リンクついて】

リンクフリーです。