CogSmartが描く未来
2025-10-22 09:53:56

CogSmartが提案する海馬育成の新たなアプローチと株式投資型クラウドファンディングの実施

CogSmartが挑む海馬育成革命



株式会社CogSmartは、2023年10月23日から11月6日まで、株式投資型クラウドファンディングを実施します。このプロジェクトは、認知症の早期発見と予防を目指し、脳の健康を支える革新的なプラットフォームの拡充を目的としています。

背景と目的


世界中で高まる認知症のリスクに対処するため、CogSmartは、20年以上にわたり脳医学の研究を重ねてきた東北大学の知見を基にした事業モデルを展開。認知症は、加齢に伴う生活習慣の影響を受けやすいため、その予防と改善が求められています。

CogSmartの強み


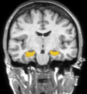
CogSmartの最大の強みは、高度な研究基盤と、独自のデータベースです。8年以上にわたり、同一人物を追跡した4,000例以上の脳画像データに基づき、科学的エビデンスに裏打ちされたサービスを提供します。また、AI技術を駆使して、個々人に最適な健康管理を提供することも可能です。

事業内容


CogSmartは2つの主なサービスを展開しています。まずは、AIで海馬の健康を可視化する「BrainSuite」です。このサービスでは、頭部MRI検査とAI解析を組み合わせ、認知症の早期リスクを客観的に判断できます。さらに、行動変容を促すアプリ「BrainUp」では、生活習慣の改善によって海馬を“育てる”ことができる方法を提供しています。

BrainUpは、FitbitやApple Watchなどのスマートデバイスを活用し、運動や身体活動の目標をユーザーに合わせて自動で設定します。この取り組みを通じて、個々人が自身の脳の健康を意識し、生活習慣を見直すきっかけを与えます。

代表者メッセージ


代表取締役CSOの瀧靖之氏は、「認知症予防には脳の健康状態を可視化することが重要だ」と強調します。「生活習慣を見直すことで、認知機能の改善が可能になる。私たちはそれを支える仕組みを構築しました」と述べ、サービスの意義を説明しています。

また、CEOの樋口彰氏は、株式投資型クラウドファンディングを通じて多くの方々の支援を受けることの重要性を語ります。特にこの新しい資金調達方法が、社会に貢献する企業の成長を支える重要な手段であることを述べています。

オンライン事業説明会


CogSmartは、オンライン事業説明会を開催予定です。事業の詳細や最新の科学的知見に基づく情報を提供し、参加者がCogSmartの取り組みをより深く理解できるよう努めます。参加は無料で、事前申し込みが必要です。

結論


CogSmartが目指すのは、誰もが「生涯健康脳」を実現できる社会です。株式会社CogSmartの新たな挑戦は、認知症予防という社会の大きな課題を解決するための新しいソリューションを提供しています。この機会に、ぜひCogSmartの活動に注目してください。


画像1

画像2

画像3

画像4

画像5

画像6

画像7

画像8

会社情報

会社名
株式会社CogSmart
住所
東京都中央区日本橋本町3丁目8−5日本橋ライフサイエンスビル5 701号室
電話番号
03-6272-8000

トピックス(地域情報)

【記事の利用について】

タイトルと記事文章は、記事のあるページにリンクを張っていただければ、無料で利用できます。
※画像は、利用できませんのでご注意ください。

【リンクついて】

リンクフリーです。