医用画像データセット無料配布
2026-03-26 21:34:29

Callistoが提供する無料の医用画像データセットが研究を促進

Callistoデータハブが無料データセットを提供



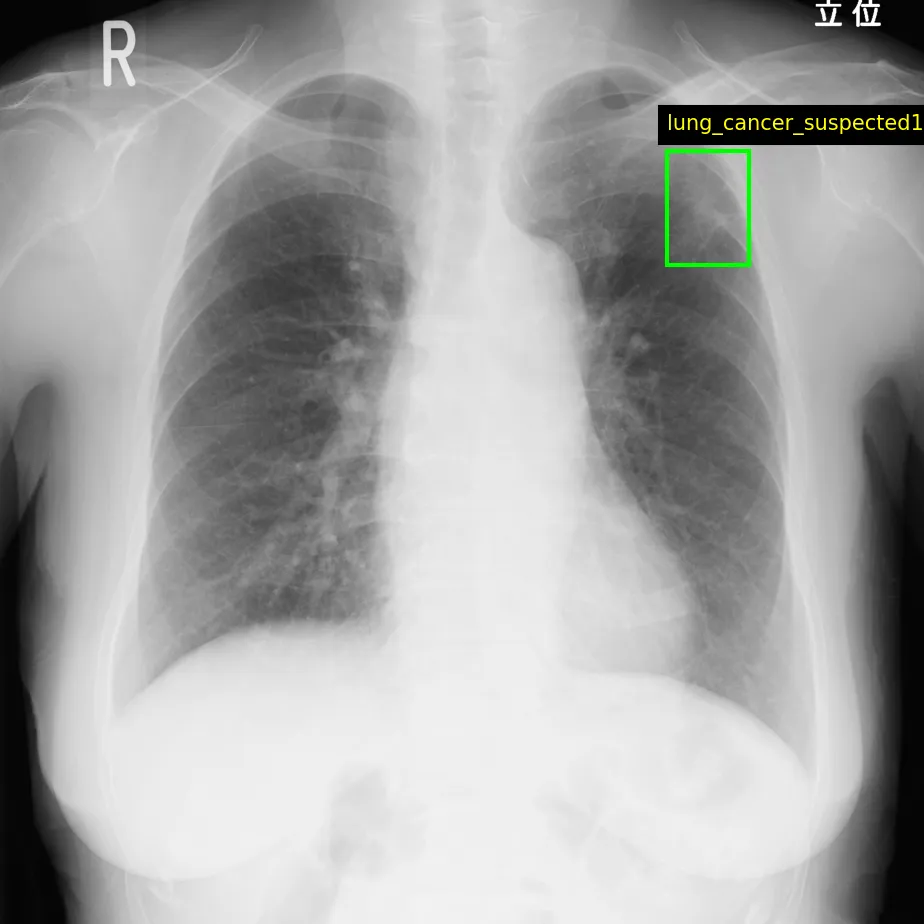
カリスト株式会社が運営する医用画像データプラットフォーム、Callisto DataHubがその2周年を迎えるにあたり、肺がん疑いX線と前立腺がんMRIの正解付きデータセットをそれぞれ50症例ずつ、無料で配布することを発表しました。このデータセットは商用利用も可能で、特に日本の医療機関由来のため、日本国内やアジア人を対象とした研究に最適です。

データセットへのアクセス方法



提供されるデータセットは、専門医によって作成されたもので、倫理的・法令的な配慮がなされ、匿名加工の上で利用可能です。ソースとなったデータは、日本の医療施設から収集されたものであり、明确な所見文がついています。利用希望者は、Callistoのウェブサイトでデータセットを選定し、利用規約に同意の上で申し込むことができます。これにより、AI研究開発や臨床研究に役立つデータを簡便に手に入れることが可能になります。

データセットの特長



1. 日本のデータ: 日本国内から集められた医療データであるため、地域特有の研究開発に向いています。
2. 匿名加工済み: 倫理と法令に従い、適切にデータが処理されています。
3. 取捨選択済み: 不適合ケースは除外済みで、研究の質が維持されています。
4. 標準化済み: 一貫性があり、データ管理や前処理の労力を軽減します。
5. アノテーション済み: 専門医によるラベル付けが行われているため、別のアノテーションは不要です。
6. 迅速な提供: 通常1カ月以内にデータセットが手に入ります。

提供されるデータの種類



Callisto DataHubは多様な医用画像データを取り扱っています。具体的には、X線、CT、MRI、PET、超音波画像、病理画像などがあり、それぞれ専門的なアノテーション付きで提供されます。特に、肺がんや前立腺がんを対象としたデータは、多くの研究者や医療機関からの関心を集めています。これにより、診断技術の向上や新たな研究手法の確立を促進します。

活用事例



提携先の医療AI企業や製薬会社は、これらのデータセットを利用して新たな技術の開発や臨床試験の設計に役立てています。AIによる画像診断や予後予測、バイオマーカーの探求など、幅広い分野で応用が期待されています。

Callistoの取り組み



Callistoは、医療機関から集めた医用画像データをもとに、AI研究開発や臨床研究に向けたデータセットを作成しています。また、商用利用にも対応しており、医療業界との連携を深めています。創薬に向けたデータ提供やコンサルティングサービスも展開し、様々なパートナーシップを構築中です。

まとめ



カリスト株式会社の提供する医用画像データセットは、特に日本の医療機関由来であり、アジアでの医療研究開発に貴重なリソースです。この無料配布は、今後の医療研究やAIの進展において大きな一歩となるでしょう。関心のある方は、ぜひお問い合わせください。


画像1

画像2

画像3

画像4

画像5

会社情報

会社名
カリスト株式会社
住所
東京都豊島区南池袋1丁目16番15号ダイヤゲート池袋5F
電話番号
03-6887-1384

トピックス(IT)

【記事の利用について】

タイトルと記事文章は、記事のあるページにリンクを張っていただければ、無料で利用できます。
※画像は、利用できませんのでご注意ください。

【リンクついて】

リンクフリーです。