医療の未来を切り拓く
2025-09-13 03:23:25

新たに登場したAI技術で医療の未来を切り拓くブレインラボのBrainlab® Elements

医療に革命をもたらすAI技術



2025年9月、ブレインラボ株式会社は新たにAI技術を搭載した手術計画用ソフトウェアであるBrainlab® Elementsを発表しました。この新機能「Elements AI Tumor Segmentation」は、特に脳腫瘍の解析において、大きな変革をもたらすことが期待されています。

AI Tumor Segmentationの特徴



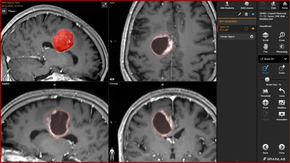
Brainlab® Elementsは、正常解剖に基づいて患者の解剖組織を詳細に解析することができます。このソフトウェアの新機能であるAI Tumor Segmentationは、頭蓋内の腫瘍描出を自動化するもので、従来の手作業による作業を効率化します。この機能は、特に転移性腫瘍や神経膠腫など、様々なタイプの腫瘍に対応できるため、医療現場での利用が広がると期待されています。

AI Tumor Segmentationは、3D U-NETアーキテクチャを用いた学習により、さまざまな腫瘍を自動的にセグメンテーションします。これにより、医療従事者はAIが提案する輪郭を確認し、修正、承認することで、迅速な解析が可能になります。このアプローチにより、手作業での描出作業の負担が軽減され、時間の節約につながります。

医療の現場での導入状況



Brainlab® Elementsは、国内で約200式の導入実績があります。医療機関は、このソフトウェアを活用することで、より正確な診断と治療を提供できるようになると考えられています。特に脳神経外科や放射線治療といった専門分野でのニーズに応える形で、進化を続けるブレインラボの技術は、医療従事者にとって強力なツールとなることでしょう。

さらに、Elementsは多様な運用形態に対応しており、ワークステーションやノートパソコン、サーバーなど、さまざまな環境で使用することが可能です。加えて、Distortion CorrectionやImage Fusionなどの機能も充実しており、必要に応じて選択できる柔軟性があります。

医療業界への貢献



ブレインラボは、医療の可視化を向上させつつ、医療従事者の業務サポートにも注力しています。AI技術の導入により、医療の質が向上するだけでなく、働き方改革にも貢献できることを目指しています。

企業情報



ブレインラボは、ドイツ・ミュンヘンに本社を置き、世界120か国以上の4,000以上の医療機関で利用されています。同社は、35年以上にわたってヘルスケアテクノロジー業界の最前線で活躍しており、医療ワークフローのデジタル化を推進しています。約2,000名の専門職が在籍しており、医療バリューチェーン全体にわたる expertiseを提供しています。

今後もブレインラボは、最新の技術を駆使し、医療の未来をより良いものにしていくことでしょう。


画像1

画像2

会社情報

会社名
ブレインラボ株式会社
住所
東京都港区芝浦3-2-16A-PLACE田町イースト2F
電話番号
03-3769-6900

関連リンク

サードペディア百科事典: 東京都 港区 AI技術 ブレインラボ Brainlab

Wiki3: 東京都 港区 AI技術 ブレインラボ Brainlab

トピックス(科学)

【記事の利用について】

タイトルと記事文章は、記事のあるページにリンクを張っていただければ、無料で利用できます。
※画像は、利用できませんのでご注意ください。

【リンクついて】

リンクフリーです。