肺がんと横隔膜の関係
2026-04-22 14:09:21

肺がん患者の術前横隔膜位置が予後に与える影響を解明

肺がん患者の術前横隔膜位置が予後に与える影響を解明



近畿大学病院の研究グループが実施した新たな研究が、肺がん患者における術前の横隔膜の位置と、術後の生存率との関連性を明らかにしました。この研究は、肺がんに関わる治療戦略やリスク評価における重要な知見を提供するものであり、今後の臨床実践に大きな影響を与えることが期待されています。

研究の背景


肺がんは世界的に見ても、がんによる死亡原因としては最も多い疾患の一つです。そのため、早期発見と適切な外科的治療が重要とされています。しかし、術後の合併症や患者の体力、さらには術後の生活管理といった多くの要因が、患者の回復や長期的な生存に影響を及ぼします。これまでの研究では、手術前の段階でのリスク評価が、患者ごとの適切な治療戦略を考える上で重要であるとされています。

また、呼吸機能の低下を示す閉塞性換気障害を有する肺がん患者は、術後の合併症や予後不良のリスクが高くなることが知られています。この中で、特に横隔膜の機能が重要視されるようになりました。これまであまり注目されていなかった横隔膜の位置に着目した本研究は、臨床的に応用可能な新たな指標を提供しています。

研究の方法


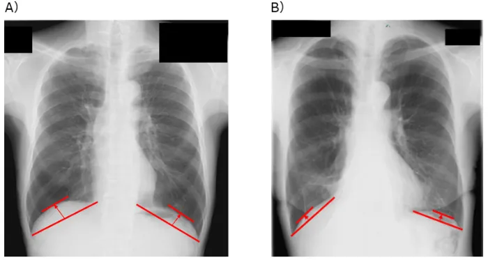
本研究は、近畿大学病院で肺葉切除術を受けた、閉塞性換気障害を伴う肺がん患者302人を対象に課題を設定しました。術前1カ月以内に撮影された胸部X線画像を使用し、横隔膜ドーム高という指標を測定しました。このデータと、術後の生存率や合併症発生の状況との関連性を解析しました。

研究結果


研究の結果、術前の横隔膜ドーム高は、術後3年の生存率に有意に影響を及ぼすことが確認されました。具体的には、横隔膜が低い位置にある患者のグループは、術後において生存率が低く、呼吸器疾患による死亡率も高いことが判明しました。この結果から、胸部X線による簡単かつ負担の少ない評価が可能である横隔膜ドーム高が、肺がん患者の治療における重要な指標となり得ることが示されました。

今後の応用


研究グループは、横隔膜の位置を評価することで、患者の術後の予後を改善するためのリハビリテーション戦略の立案に役立つ可能性を提案しています。具体的には、術前に横隔膜ドーム高を確認し、低い場合は術前の呼吸リハビリテーションなどを考慮することで、術後の予後を改善するための手がかりとなります。

結論


この研究は、術前評価の標準化に向けた重要な一歩を示しています。近畿大学病院の研究チームは、今後も患者の安全と治療効果をさらに高めるための研究を続けていくことでしょう。また、この成果は、日本癌治療学会が発行する国際的な学術雑誌『International Journal of Clinical Oncology』に掲載され、広く知られることとなりました。

本研究の成果が、肺がん患者における治療戦略やリスク評価に革新をもたらすことを期待しています。

会社情報

会社名
学校法人近畿大学
住所
電話番号

関連リンク

サードペディア百科事典: 大阪府 堺市 近畿大学 肺がん 横隔膜

Wiki3: 大阪府 堺市 近畿大学 肺がん 横隔膜

トピックス(科学)

【記事の利用について】

タイトルと記事文章は、記事のあるページにリンクを張っていただければ、無料で利用できます。
※画像は、利用できませんのでご注意ください。

【リンクついて】

リンクフリーです。