食物アレルギー症状の解明
2025-01-28 11:32:07

食物アレルギー症状の新たなメカニズムが解明される

食物アレルギー症状の新たなメカニズムが解明される



近年、食物アレルギーに関する研究が進展し、症状の悪化に関連する新たなメカニズムが解明されつつあります。特に順天堂大学の研究チームは、腸管の粘膜型マスト細胞が食物アレルギーの症状誘発において重要な役割を果たすことを発見しました。これにより、今後の治療法の開発に期待が寄せられています。

研究の背景と意義


食物アレルギーは、特定の食品に対する免疫系の過剰反応によって引き起こされます。これにより、蕁麻疹やかゆみ、さらに重篤な場合はアナフィラキシーといった命に関わる症状が現れることがあります。特に子供に多く見られるこの疾患ですが、大人の患者も増加しており、その治療薬は現在も限られた存在です。こうした背景から、研究チームは食物アレルギーのメカニズムを解明し、治療法の選択肢を広げることを目指しました。

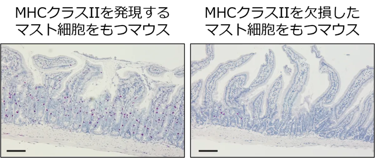
研究の成果と発見


ここで注目すべきは、食物アレルギーを発症したマウスの腸管において、抗原提示細胞様の特徴を持つ粘膜型マスト細胞が発見された点です。具体的には、食物アレルギーによってヘルパーT細胞が活性化され、これがさらにマスト細胞の増殖を促進するという新たなシステムが構築されていました。研究チームは、この一連の過程がどのように行われるかを解明しました。

特に、粘膜型マスト細胞は食物アレルギーの発症に伴い腸管のマスト細胞数が増加することを明らかにしました。具体的には、MHCクラスII分子を発現する粘膜型マスト細胞が、食物アレルギーのメカニズムに重要な役割を果たしていることが示されました。

マスト細胞とヘルパーT細胞の関係


マスト細胞は、IgE受容体を介して特定の抗原に結合することによって活性化されます。研究では、これらのマスト細胞がヘルパーT細胞に抗原を提示し、この刺激によりヘルパーT細胞が活性化される過程が観察されました。活性化されたヘルパーT細胞は、IL-4やIL-5などのサイトカインを産生し、これによりマスト細胞の増殖が助長されるという明確な相関関係が見えてきました。

このように、腸管に存在する粘膜型マスト細胞が過剰に増殖するメカニズムが示されたことで、今後の治療法開発に新たな道筋が開かれました。

今後の展望


研究チームは、IL-9が粘膜型マスト細胞の増殖を促進する作用を強く持つことを突き止めました。これに基づき、IL-9やその受容体をターゲットとした治療法が将来的に有望である可能性が示されています。さらに、粘膜型マスト細胞が関与する他の炎症性疾患への応用も視野に入れ、今後ますます詳細に検証していく意向が表明されています。

結論


この研究成果は、食物アレルギーに関する深い理解を提供するとともに、今後の新たな治療法開発に寄与することが期待されています。特に患者さんの生活の質を向上させる治療法の確立に向けて、さらなる歩みが進むことを願っています。

本研究は、Allergy誌のオンライン版にて2025年1月27日付で公開される予定です。


画像1

画像2

会社情報

会社名
学校法人 順天堂
住所
東京都文京区本郷2-1-1
電話番号
03-3813-3111

トピックス(科学)

【記事の利用について】

タイトルと記事文章は、記事のあるページにリンクを張っていただければ、無料で利用できます。
※画像は、利用できませんのでご注意ください。

【リンクついて】

リンクフリーです。